Computertomographie des Herzens (Kardio-CT, CT-Koronarangiografie)
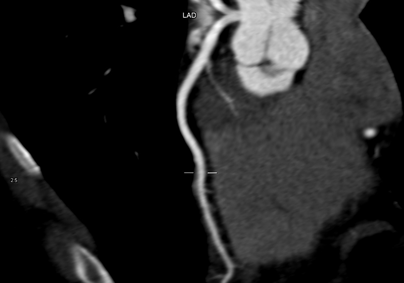
Die Kardio-CT ist eine aussagekräftige, schnelle und wenig belastende Methode zur Beurteilung der Herzkranzgefäße (Koronarien). Die Untersuchung wird oft eingesetzt bei mutmaßlich kardialen Beschwerden wie unklarem Brustschmerz und Risikofaktoren für Herz-Kreislauferkrankungen (erhöhter Bluthochdruck, Diabetes mellitus, Rauchen, erhöhte Blutfettwerte, Übergewicht oder Herzinfarkten in der Familie). Mit ihr kann das Herzinfarktrisiko eingeschätzt und in vielen Fällen auf eine invasive Katheteruntersuchung verzichtet werden. Um die Gefäße gut darstellen und beurteilen zu können, ist für eine Kardio-CT die Gabe eines Kontrastmittels und eines gut verträglichen Medikaments zur Erweiterung der Gefäße erforderlich (Nitrospray).
Verkalkungen der Herzkranzgefäße : der Kalk-Score
Die moderne Computertomographie des Herzens erlaubt den Nachweis von Verkalkungen der Herzkranzgefäße mit sehr hoher Verlässlichkeit. Koronar-Kalk findet sich auch in den Frühstadien einer Arteriosklerose, wenn noch keine Beschwerden bestehen. Studien bestätigen den wichtigen prognostischen Stellenwert.
Die Kalkmenge kann gut quantifiziert werden (Kalk-Score, Agatson-Score), so dass Folgeuntersuchungen nach Jahren Rückschlüsse auf die Entwicklung der Erkrankung oder die Wirksamkeit einer Therapie zulassen.
Mit Hilfe des Kalk-CT können verkalkte Plaques (Ablagerungen in der Gefäßwand der Herzkranzgefäße) direkt, schnell und mit sehr geringer Strahlenbelastung dargestellt werden.
CT zur Planung einer Katheter-Ablation für Herzrhythmus-Störungen
Zur Planung einer Katheter-Ablation oder Pulmonalvenen-Isolation (elektrochirurgische Methoden zur Behandlung von Herzrhythmusstörungen) wird in der Regel eine CT der Lungenvenen durchgeführt. Die CT dient zur Darstellung der Lungenvenen, die in den linken Herzvorhof einmünden. Auch für diese CT-Untersuchung ist eine intravenöse Kontrastmittelgabe sowie die Überwachung mit einem EKG erforderlich.
Hinweise für die Durchführung einer Kardio-CT
Vor einer CT mit Kontrastmittel benötigen wir von Ihnen zwei Laborwerte: Ihren Kreatinin-Wert (Nierenfunktion) sowie Ihren TSH-Wert (Schilddrüsenfunktion). Bitte bringen Sie beide Werte am Untersuchungstag mit.
Sollten Sie an einer leicht- bis mittelgradigen Nierenfunktionsstörung leiden und ein Diabetesmedikament (Antidiabetikum) mit dem Wirkstoff Metformin einnehmen, ist eine vorherige Absprache mit uns nötig.
Vor und auch nach der Untersuchung sollten Sie viel Wasser trinken, damit das Kontrastmittel schnell wieder ausgeschieden werden kann. Am Untersuchungstag brauchen Sie nicht nüchtern zu erscheinen, sollten aber keinen Tee, Kaffee und Alkohol zu sich. Vor der Untersuchung sollten Sie vorher keine große Mahlzeit eingenommen haben und mindesten zwei Stunden nüchtern sein. Männliche Patienten möchten wir darauf hinweisen, dass die Einnahme des Potenz-steigernden Mittels Sildenafil (z.B. Viagra) bis zu 72 Std. vor der Untersuchung in Kombination mit der erforderlichen Gabe von Nitrospray zu lebensbedrohlichen Komplikationen führen kann.
Ablauf einer Kardio-CT
Die reine Untersuchungszeit bei einer Kardio-CT- mit Kontrastmittel beträgt ca. 15 Minuten. Die anschließende Datenauswertung dauert etwa 20 Minuten, so dass Sie einschließlich Vorbereitungen insgesamt etwa 45-60 Minuten einplanen sollten.
Sofern bei Ihnen nicht nur der Kalziumscore ermittelt werden soll, ist sowohl bei einer Darstellung der Herzkranzgefäße, wie auch bei einer CT der Lungenvenen die Gabe eines Kontrastmittels erforderlich, welches Ihnen über die Armvene verabreicht wird.
Für eine gute Bildqualität zur Darstellung der Herzkranzgefäße ist es wichtig, dass Ihr Puls während der CT-Untersuchung nicht über 70/min schlägt. Daher ist es häufig notwendig, vor der Untersuchung einen kurz-wirksamen Betablocker zur Senkung der Herzfrequenz zu verabreichen. Dieser wird Ihnen intravenös über die Armvene verbreicht.
Um Ihren Herzschlag während der Untersuchung zu überwachen, wird Ihnen zuvor ein EKG angelegt. Zur Erweiterung der Herzkranzgefäße erhalten Sie dann etwas Nitrospray unter die Zunge. Nach Gabe des Kontrastmittels erfolgt dann die CT-Untersuchung, welche insgesamt nur wenige Minuten dauert.
Über eine 3D-Nachverarbeitung werden die Herzkranzgefäße sowie eventuelle Engstellen und Verkalkungen dargestellt und vermessen. Sofern vorhanden, können an dieser Stelle auch Stents oder Bypässe auf deren Durchgängigkeit überprüft werden.
Nach Auswertung der Daten werden die Ergebnisse ärztlicherseits mit Ihnen besprochen und Sie erhalten eine CD-Rom mit Ihren Aufnahmen. Der schriftliche Untersuchungsbericht wird jeweils Ihnen und dem behandelnden Arzt zugeschickt.


Ihre Ansprechpartner für die Kardio-CT sind Prof. Dr. med. Ingo Nölte und Dr. Mehrer
  
							

